איך יישור שיניים משנה את החיים?
כאשר הבעיה אינה רק בשיניים, אלא גם במבנה הלסת, נדרש טיפול שמבין את התמונה כולה.
למה המטופלת פנתה אלינו ?
מטופלת צעירה בשנות העשרים המוקדמות לחייה פנתה למרפאה לאחר שכבר עברה יישור שיניים בעבר, אך נותרה עם תחושה ברורה שהטיפול הקודם לא פתר את הבעיה המרכזית שממנה סבלה.
היא תיארה חיוך צר, חשיפה מועטה של שיניים בזמן חיוך, תחושה של לסת עליונה צרה, ומראה פנים שבו אזור הלחיים והשליש האמצעי נראים צרים וחסרי תמיכה. לאחר שנחשפה לסיפור של מטופל אחר שלנו שעבר תהליך דומה, והבינה שטיפול נכון עשוי לשנות לא רק את הסגר אלא גם את איכות החיים, היא החליטה להגיע לבדיקה.
מה מצאנו בבדיקה?
מה היה האתגר ?
מה רצתה המטופלת?
תוכנית הטיפול
למה היה צורך ב SARPE ?
במטופלת בוגרת, כאשר הלסת העליונה צרה ממקור סקלטלי (עצם קטנה), לא ניתן להסתפק בהרחבה דנטלית בלבד אם רוצים ליצור שינוי אמיתי ויציב.
SARPE מאפשרת הרחבה אמיתית של הלסת העליונה, ולא רק הטיה של השיניים. זהו שלב קריטי כאשר רוצים לטפל בשורש הבעיה ולא רק בתוצאה שלה.
ההליך הכירורגי במקרה כזה הוא ממוקד וקצר, מבוצע בהרדמה כללית, ולא מצריך אשפוז לילה.
לאחר שלב ההרחבה המשיך הטיפול באמצעות קשתיות שקופות. בשלב זה בוצעה שליטה מדויקת ביחסי הקשתות, בתנועת השיניים ובסגירת המנשך הפתוח, תוך שמירה על טיפול דיסקרטי ואסתטי.
עבור המטופלת, היה חשוב מאוד לעבור תהליך משמעותי מבלי להרגיש שהיא נושאת מכשור בולט, ולכן כל שלב תוכנן גם מנקודת מבט קלינית וגם מנקודת מבט אסתטית.
התוצאה
התוצאה הייתה רחבה הרבה יותר מיישור שיניים. רוחב הקשת העליונה השתפר משמעותית, הסגר תוקן, החיוך הפך רחב ומאוזן יותר, ונוצר שינוי ברור במראה השיניים, אך בעיקר במראה הפנים. מעבר לכך, המטופלת דיווחה גם על שיפור בתחושת הנשימה, באופן הדיבור ובדימוי העצמי.
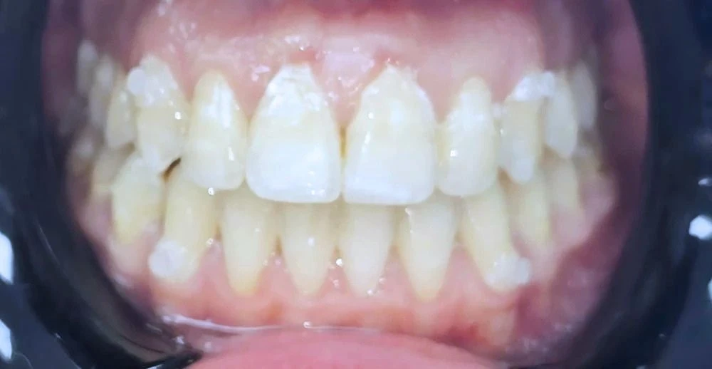
תמונות לפני ואחרי טיפול
לפני
אחרי
שמירה על התוצאה
סיכום
גם במטופלים שכבר עברו יישור שיניים בעבר, ניתן להשיג שינוי משמעותי מאוד, כאשר מזהים נכון את הבעיה.
צרו איתנו קשר ובואו לייעוץ – 073-8010700

