שיניים כלואות הן שיניים שלא בקעו כראוי דרך החניכיים ונשארות לכודות בעצם הלסת. הבעיה שכיחה ביותר בשן בינה, אך יכולה להופיע גם בשיניים קדמיות. טיפול אורתודנטי בשיניים כלואות כולל לרוב חשיפה כירורגית ואחריה הנחיית השן למיקומה הנכון.
מה הן שיניים כלואות?
שיניים כלואות הן שיניים שלא הצליחו לבקוע במלואן דרך החניכיים ולהגיע למקומן הטבעי בקשת השיניים בזמן הצפוי.
מצב זה מתרחש לרוב כאשר אין לשן מספיק מקום בלסת לצמוח, או כאשר היא נחסמת על ידי שן אחרת, עצם או רקמת חניכיים עבה. השן יכולה להיות כלואה לחלוטין (מכוסה כולה בעצם ו/או חניכיים) או כלואה חלקית (רק חלק ממנה בצבץ לחלל הפה). השיניים השכיחות ביותר להיכלא הן שיני הבינה (הטוחנות השלישיות) והניבים העליונים.
מה הסיבות לשיניים כלואות?
הסיבה הבסיסית והפשוטה ביותר לכך ששן נכלאת היא מכנית: אין לה מספיק מקום לצאת, או שמשהו חוסם את דרכה.
השן "רוצה" לבקוע ולהגיע למקומה בקשת השיניים, אך אם היא נתקלת במחסום פיזי, היא תישאר כלואה בתוך עצם הלסת או מתחת לחניכיים.
סיבות נוספות לשיניים כלואות
1. חוסר התאמה בין גודל הלסת לגודל השיניים (הסיבה האבולוציונית) – זוהי הסיבה הנפוצה ביותר, בעיקר כשמדובר בשיני בינה.
במהלך האבולוציה האנושית, המעבר למזון רך ומעובד יותר הפחית את הצורך בלסתות מסיביות וחזקות. כתוצאה מכך, הלסתות האנושיות הלכו וקטנו עם הדורות. הבעיה היא ש – מספר השיניים (32) וגודלן לא קטנו באותו יחס.
כך נוצר מצב של צפיפות בלסת, פשוט אין מספיק מקום לכל השיניים להסתדר בשורה ישרה. השיניים האחרונות לבקוע (שיני בינה, שבוקעות סביב גיל 18-25) מגיעות שהקשת כבר מלאה, ולכן הן נשארות כלואות.
קראו בהרחבה על צפיפות תחתונה
2. בעיות בתזמון תחלופת שיני החלב
תהליך החלפת שיני חלב בשיניים קבועות הוא תהליך עדין של תזמון. שיבושים בתהליך גורמים לכליאה:
- אובדן מוקדם מדי של שן חלב – אם שן חלב נופלת או נעקרת (למשל בגלל עששת חמורה) הרבה לפני ששן הקבע מוכנה לצאת, השיניים הסמוכות נוטות לזוז ("לנדוד") ולסגור את הרווח שנוצר. כשהשן הקבועה סוף סוף מוכנה לצאת, המקום שלה כבר תפוס.
- נשירה מאוחרת של שן חלב (שן חלב "עקשנית") – לעיתים שן חלב לא נושרת בזמן כי השורש שלה לא נספג כראוי. היא נשארת תקועה במקום ואז היא מהווה מחסום פיזי שאינו מאפשר לשן הקבועה שמתחתיה שרוצה לבקוע.
3. זווית צמיחה לא תקינה
לעיתים, ניצן השן (ההתחלה של השן בתוך הלסת) ממוקם מלכתחילה בזווית לא נכונה. במקום לצמוח ישר כלפי מעלה (או מטה בלסת העליונה), השן צומחת באלכסון או אפילו במאוזן (בשכיבה). במצב כזה, היא תיתקל בשן הסמוכה לה ותיכלא, ללא קשר לכמות המקום שיש לה.
4. מסלול בקיעה ארוך ומורכב (אופייני לשיניים ניבים עליונים)
הניבים העליונים הם השיניים השניות בשכיחותן להיכלא (אחרי שיני בינה). הסיבה היא שהם מתפתחים במיקום גבוה מאוד בלסת, כמעט מתחת לארובת העין, ויש להם את הדרך הארוכה ביותר לעבור עד לחלל הפה. בגלל המסלול הארוך והמאוחר יחסית, יש להם סיכוי גבוה יותר "ללכת לאיבוד בדרך", לסטות מהמסלול או להיתקע בגלל ששיניים אחרות כבר תפסו את המקום.
5. מכשולים פיזיים ברקמות (עצם או חניכיים)
- עצם צפופה במיוחד – לעיתים עצם הלסת מעל השן היא קשה וצפופה מדי, ולשן אין מספיק כוח דחיפה כדי לחדור אותה.
- רקמת חניכיים עבה (Fibrosis) – לעיתים רקמת החניכיים מעל השן הופכת לסיבית, עבה וקשיחה מאוד, ומונעת את הבקיעה הסופית.
המרכז לטיפול בשיניים כלואות – אורתו בריבוע
כמי ששימש אורתודונט ראשי ומנהל יחידה בבית החולים סורוקה, וכמי שמחזיק ברקורד של יותר מ-15 שנים במחלקת האורתודונטיה בתל-השומר ובתפקיד יועץ לרופא הראשי של קופת-חולים מאוחדת, צברתי ניסיון קליני ייחודי בטיפול בשיניים כלואות – מן המקרים הקלים ועד הסבוכים ביותר.
למה לבחור בנו?
- ניסיון שנצבר בבית-חולים – הניהול של יחידת האורתודונטיה בסורוקה חידד אצלי את חשיבות העבודה בצוות רב-תחומי ובנה פרוטוקולים שמעלים את שיעור ההצלחה.
- צוות של מומחים בפיקוח אישי – כירורגי פה-ולסת ופריודונטיים שעבדו איתי גם במסגרות בית-חולים, בעלי ידע ומיומנות יחודית, עתה זמינים במרפאה פרטית אחת.
- טיפול מותאם-אישית – אנו מציגים למטופל מגוון אפשרויות: טיפול בסדציה או בהרדמה כללית, כירורגיה מינימלית, הדפסה של מכשור מותאם אישית, קשתיות שקופות.
- רגיעה ובטיחות – כל הטיפולים מבוצעים ע"י ד"ר נועם פרוטר באווירה נעימה ובתחושת רוגע ובטחון. אם נדרש, ניתן לבצע את ההתערבות בהרדמה כללית עם בכירי הכירורגים בישראל; בכל מקרה גם השלב הכירורגי מפוקח אישית על ידי ד"ר נועם פרוטר.
- אורתודונטיה אסתטית מתקדמת – גם במקרים מורכבים ניתן להשתמש בקשתיות שקופות ובמכשירים מודפסים-תלת-ממד כדי לשמור על אסתטיקה בזמן ההבקעה.
- חוויה חיובית לילדים – סביבת טיפול נעימה, ליווי צמוד וחיזוקים חיוביים שמקטינים את החרדה ומקלה על שיתוף-פעולה.
- מגיעים אלינו מכל הארץ – בזכות השילוב הנדיר של מומחיות, טכנולוגיה ואווירה משפחתית.
שן כלואה לא מחכה לנו – ככל שמגלים מוקדם יותר כך ההתערבות קטנה והטיפול קצר יותר.
לקביעת ייעוץ ראשוני התקשרו ל-טל’ 073-8010700
מידע נוסף אודות המרפאה
סיפורי מקרה טיפול בשן כלואה
ממליצים עלינו
מקום מדהים! הייתי פה כמעט שלוש שנים הדבר הכי טוב שקרה לי אם השיניים האלא, באמת שמהפך מדהים שאין לי מילים לתאר. הצוות מדהים במיוחד ד״ר נועם וחנה מדהימים בטירוף ובאמת שרק חיכיתי כדי לבוא לפה שוב!! לא רציתי להוריד את הגשר רק בשביל להיות פה!
הגעתי אחרי 3 שנים של טיפולים במרפאה אחרת וד״ר נועם בחצי שנה של סבלנות ומקצועיות רבה היה שם ויישר לי את השיניים תודה רבה לכל הצוות!
שתי הבנות שלנו עוברות טיפול יישור שיניים אצל דר' נועם. אנחנו כבר למעלה משנה מטופלים כך שיש לנו פרספקטיבה טובה... אנחנו לגמרי ממליצים!! דר' נועם מאוד מקצועי, אדיב ונעים, הבנות שמחות לבוא אליו לטיפול והחוויה הכללית בטיפול ובמרפאה נעימה ומזמינה, קודם כל לבנות אבל גם לנו, ההורים...
עשיתי יישור עם אינוויזליין, יצא מוצלח מאד, חיוך מושלם, ממליצה בחום על דר פרוטר והצוות כולו.
במקום עצמו מאוד שירותי ונעים. יש מכונת שתייה, ומקרר עם שתייה קלה, מכונת קפה. מקומות ישיבה נוחים להמתנה. הרופא ד״ר נועם פרוטר מאוד מאוד נחמד ויודע להקליל סיטואציות.
הבנות שלי מטופלות שם והתוצאות מוחשיות ונהדרות! אני אישית טופלתי בילדותי אצל ברזניאק ביישור שיניים שמחזיק עד היום כמו חדש! ממליצה
אנחנו מטופלים אצל ד״ר פרוטר. השירות מעולה, מאד מקצועי ומכבד את המטופל. ממליצה בחום.
ד"ר נפתלי טיפל בבתי הבכורה בצורה מקצועית, נעימה ועם הרבה סבלנות.כעת בתי הנוספת מטופלת אצל ד"ר נועם ואנחנו מאוד מרוצים. המרפאה נעימה והצוות מאוד עוזר.
עשינו יישור שיניים לבן ולבת שלנו. יצא נהדר וכל הטיפול עצצו היה נהדר - שירות קשוב, זמין, נעים ומקצועי. ממליצה בחום רב
נועם רופא מדהים היה מאוד מקצועי, מסור, קשוב וזמין לכל שאלה לאורך כל הטיפול. היה פשוט כיף להיות מטופלת שלו. הרגשתי שתמיד יש למי לפנות בכל שעה ועל מי לסמוך. נועם מאוד סבלני ויסודי וככה גם נראת התוצאה תוצאה מושלמת בזמן הכי קצר שאפשר. מעבר לזה שנועם רופא מעולה הוא גם אדם מקסים ופשוט כיף לבוא אליו למרפאה ממליצה בחום!!!! נשיקות לנועם כבר מתגעגעת ממני גוני.
אני ומשפחתי מטופלים אצל ד"ר נפתלי ברזניאק למעלה מ-15 שנים. מדובר ברופא מעולה בעל יחסי אנוש נפלאים. גם הצוות המלווה תמיד זמין ונחמד. מומלץ מאוד!
רופא מקצועי וסימפטי, יש לו גישה לילדים ולנערים, בעל חוש הומור, אסיסטנטיות ידידותיות ואווירה נעימה במרפאה . הוגן, אדיב, זמין. בקיצור - מומלץ!
ד״ר ברזניאק מספר 1! מקצועי ונעים. היה זמין לכל sos שלי והתוצאה יותר ממושלמת
ד״ר ברזניאק מעולה! עברנו אליו מרופאה אחרת שהמליצה על עקירות כירורגיות. הוא העריך שלא צריך לעקור. עברנו אליו וסיימנו איתו את הטיפול בצורה מושלמת ללא שום עקירה. מומלץ, שירותי ומקצועי
ד"ר ברזניאק הוא ללא עוררין המומחה מספר אחת בארץ אם לא בכל העולם. הוא הציל אותי ממש מטיפול נוראי של אחד "המומחים" המוכרים והידועים בארץ שעשה לי טראומה וד"ר ברזניאק היה המלאך שלי. הוא מקצוען, עדין כל כך, מבין מתחשב, עם שירות ברמה בינלאומית, הוא מקצוען אמיתי, בעל ראש טוב עם פתרונות יצירתיים, מעבר לכך שהוא איש נעים הליכות ונחת שמשרה אווירה של בטחון כשמגיעים אליו. ד"ר ברזניאק היקר - שה' ישמור לי עלייך ושתמשיך לעזור להרבה מאוד נאשים שצריכים את הידיים הטובות שלך. כל מי שמגיע לכאן - אל תהססו, הגעתם למקום הכי טוב בארץ. מובטח. דלית שלום
Very good doctors Know how to do do with our kids We can see the first result very quick Really recommended
רופא מצויין! טיפול מהיר ומקצועי ביותר. נחמד ורגיש אל המטופלים. חוויה טובה.
האורטודנטים הטובים, המקצועיים והנחמדים ביותר שיכולנו למצוא. הזמינות שלהם, הטיפול והליווי לאורך כל תקופת הטיפול היו מעל ומעבר למצופה והמקובל. שלושת בנותיי מטופלות אצלם וא חנו מגיעים מרחוק מיוחד.
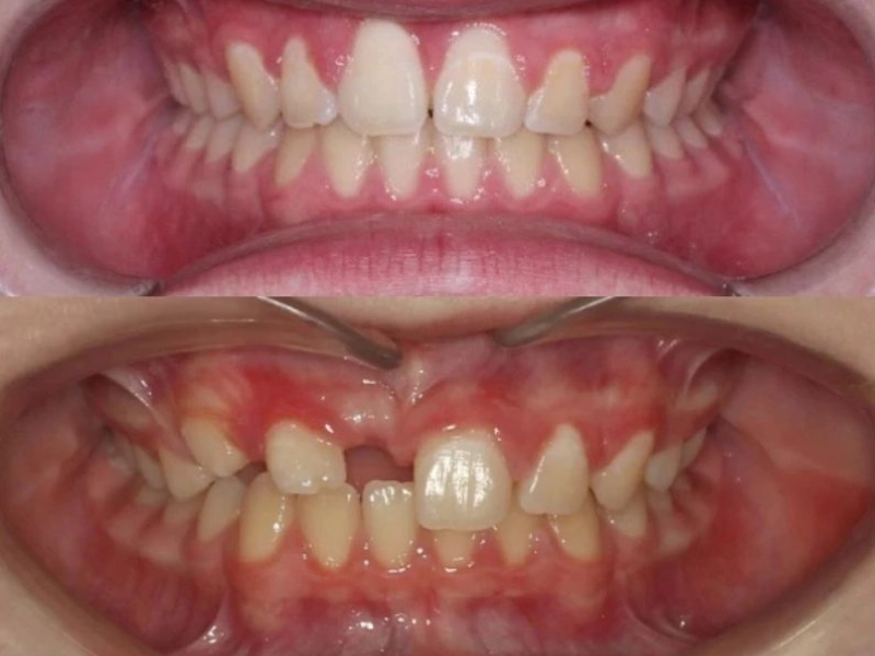
השיניים הכלואות
השיניים הכלואות הנפוצות ביותר הן שיני הבינה. שיניים אלה מיועדות לעקירה.
הניב העליון הוא השן הקבועה הכלואה השכיחה ביותר אחרי שיני-הבינה. הכליאה מופיעה עד כ-3% מהילדים ופי 2 בנשים.
החותכת המרכזית העליונה (צנטרלית) כלואה לעיתים רחוקות יותר, אולם כשהדבר קורה – לרוב עקב שן עודפת או טראומה – היא גורמת להשפעה אסתטית חמורה מאוד.
סיכונים אם לא מטפלים
- ספיגת שורש של השן הסמוכה (לטרלית) – מעל 10% מהמקרים !
- ציסטה סביב כותרת השן הכלואה – יכולה להתפתח לזיהום.
- פגיעה אסתטית/תפקודית: חוסר שן, קו-אמצע סוטה לצד אחד, חסר עצם ולעיתים קושי בלעיסה והגייה
אבחון מוקדם – החל בגיל 7
- צילום פנורמי: בחינת זווית ועמדת הניב הבוקע ביחס לחותכת שהלטרלית שכבר בקעה.
- :CBCT במקרים שבהם זקוקים למיקום תלת-ממדי של ניב/צנטרלית

הטיפול במרכז לשיניים כלואות
- אבחנה מוקדמת – בדיקה בגיל 7 וגיל 9 שנים, על מנת לאפשר התערבות מוקדמת
- התערבות מוקדמת – עקירת שן חלב/שן עודפת, הרחבת חך , פיזור צפיפות ופתיחת מקום.
- תכנון ניתוח החשיפה – תכנון מוקדם, שילוב ידיים בין ד"ר נועם פרוטר והכירורגים או הפריודונטים המובילים בארץ. התכנון נועד לקבלת התוצאה האסתטית ביותר תוך ביצוע הפרוצדורה הקלה ביותר למטופל.
- חשיפה כירורגית זעירה – בהרדמה כללית, טשטוש או הרדמה מקומית, במרפאה או בחדר ניתוח, ע"י פריודונט או כירורג פה ולסת – תמיד בנוכחות ובליווי האורתודונט, ד"ר נועם פרוטר אשר בודק את השן החשופה ומדביק את כפתור הזהב על השן.
- משיכה אורתודונטית – שימוש במכשור אסתטי, סמכים או קשתיות שקופות, בהתאם לדרישת המטופל.
- מעקב אישי – כמי שמטפל בשיניים כלואות ומנהל את יחידת האורתודונטיה בסורוקה, אני מכוון כל שן במסלול הבטוח והמהיר ביותר לכיוון הבקיעה.
- שיעור הצלחה גבוה מהמדווח בספרות !
גלרייה טיפול בשן כלואה








אז מה כדאי לזכור ?
לשיניים כלואות השפעה חמורה על האסתטיקה והפונקציה של קשת השיניים. חותכות מרכזיות (צנטרליות) כלואות משפיעות על החיוך מגיל צעיר מאוד ועלולות לסבך כל נסיון לתיקון בעתיד. אבחון מוקדם וטיפול רב-תחומי במרכז המומחים, מונעים סיבוכים כואבים ומבטיחים חיוך יפה ובריא.
שן קדמית חסרה ? שן חלבית שלא נושרת ? קבעו פגישת ייעוץ – וגלו את כל האפשרויות, מהמשיכה העדינה ועד פתרונות אסתטיים שקופים.
שאלות ותשובות שיניים כלואות
זו שאלת מיליון הדולר. לעיתים שן כלואה היא "פצצה מתקתקת". היא עלולה לגרום לעששת בשן הסמוכה, ליצור ציסטות בלסת או לגרום לצפיפות ודחיקה של שאר השיניים. אנחנו מעדיפים להוציא אותה כשהמצב שקט ולא לחכות לדלקת חריפה.
עקירה רגילה מתבצעת כשהשן גלויה ניתן לאחוז בה. בעקירה כירורגית של שן כלואה, השן נמצאת מתחת לחניכיים או בתוך העצם. הרופא צריך לבצע חתך קטן בחניכיים (ולפעמים להסיר מעט עצם) כדי לחשוף ולהוציא את השן.
בזמן הטיפול עצמו – ממש לא. האזור מורדם בצורה חזקה מאוד (אלחוש מקומי). אתם תרגישו לחץ ותנועה, אבל לא כאב חד. את אי-הנוחות מנהלים אחרי שההרדמה פגה בעזרת משככי כאבים.
שיא הנפיחות והרגישות הוא בדרך כלל ב-48 השעות הראשונות. רוב האנשים חוזרים לשגרה מלאה תוך 3 עד 5 ימים. החלמה מלאה של הרקמה לוקחת כמה שבועות, אבל זה כבר לא מורגש ביומיום.
זהו מצב שבו קריש הדם שאמור להגן על אזור העקירה מתנתק. זה כואב, אבל ניתן למניעה.
חשוב מאוד!!! אל תעשנו ואל תשתו עם קש ב-24-48 השעות הראשונות (הוואקום עלול לשאוב את הקריש החוצה).
זו דעה רווחת, אך המחקרים היום מראים ששיני בינה הן לא הגורם הבלעדי לצפיפות. עם זאת, אם יש לחץ ישיר על השן הסמוכה, היא בהחלט יכולה להזיז אותה או לפגוע בשורש שלה.
בהחלט. אם החרדה גבוהה מאוד או שמדובר במספר עקירות מורכבות בבת אחת, ניתן לבצע זאת תחת סדציה (טשטוש ורידי) או הרדמה מלאה בתיאום מראש.
ביום הראשון – רק דברים קרים ורכים (גלידה, יוגורט, שייקים). החל מהיום השני אפשר לעבור לאוכל פושר ורך (פירה, פסטה רכה). חשוב להימנע מאוכל חם, חריף או קשה שעלול לפצוע את המקום.
במצב של שיניים כלואות בלסת התחתונה, השורשים לעיתים קרובים לעצב התחושתי של השפה והסנטר. לכן אנחנו תמיד מבקשים צילום פנורמי (או CT במקרים מורכבים) כדי לתכנן את העקירה בדיוק מירבי ולמזער סיכונים.
ברוב המקרים משתמשים בתפרים נספגים שנעלמים מעצמם תוך שבוע-שבועיים. אם השתמשו בתפרים רגילים, הרופא יוציא אותם בפגישת הביקורת אחרי כעשרה ימים (זה הליך מהיר ולא כואב).
אנו ממליצים לקרוא

טיפול בקשתיות שקופות: מגמות שוק, ביומכניקה ויעילות
מאת: ד"ר נפתלי ברזניאק וד"ר נועם פרוטר 1. מבוא: תור הקשתיות השקופות הטיפול בקשתיות שקופות (Clear Aligner Therapy – CAT)

סמכים שקופים
מאת: ד"ר נפתלי ברזניאק וד"ר נועם פרוטר סמכים שקופים הם מכשור אורתודונטי קבוע העשוי מחרסינה מתקדמת או ספיר, המעניקים פתרון אסתטי

יישור שיניים פנימי
יישור שיניים פנימי, הידוע גם כ – יישור לינגואלי, הוא שיטה בה הגשר האורתודונטי מוצמד לצד הפנימי (הלשוני) של השיניים

יישור שיניים שקוף אמיתות
יישור שיניים שקוף עם קשתיות נשלפות הוא אמנם נוח ואסתטי – אך יש כמה עובדות שכדאי לדעת לפני שמחליטים. ראשית:

בעיות שיניים ילדים
שמירה על תוצאות יישור שיניים לאורך זמן מחייבת שימוש נאמן ברטיינר (קיבוע) לפי הנחיות הרופא. שיניים שיושרו נוטות לחזור למיקומן

שמירה על תוצאות הטיפול האורתודנטי
תהליך יישור השיניים אינו מסתיים עם הסרת הגשר או השלמת השימוש בפלטות. שלב הרטנציה הוא חלק קריטי בשמירה על תוצאות
