
בעיות שיניים ילדים
שמירה על תוצאות יישור שיניים לאורך זמן מחייבת שימוש נאמן ברטיינר (קיבוע) לפי הנחיות הרופא. שיניים שיושרו נוטות לחזור למיקומן
דף הבית » יישור שיניים
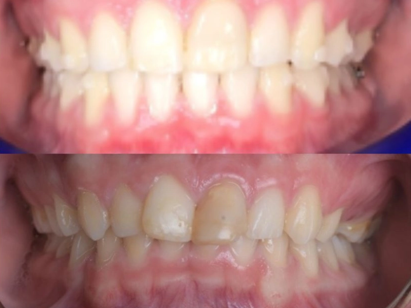
יישור שיניים הוא טיפול אורתודנטי שמטרתו לתקן מיקום שיניים וסתם לא תקין, לשפר את הפונקציה ואת המראה החיצוני. הטיפול מבוצע על ידי אורתודנט מומחה בלבד ויכול להתאים לכל גיל ילדים, מתבגרים ומבוגרים בהתאמה אישית לכל מטופל.
יישור שיניים הוא הרבה מעבר לטיפול אסתטי. הוא המפתח לשיפור הבריאות הדנטלית והכללית, וליצירת חיוך שמבטא ביטחון עצמי.
בעידן המודרני, הטכנולוגיה האורתודנטית התקדמה משמעותית ומציעה מגוון רחב של פתרונות חדשניים להתמודדות עם מצבים כמו שיניים עקומות, סגר לקוי ורווחים בין השיניים.
טיפול יישור שיניים מותאם אישית לכל מטופל על בסיס מבנה הלסת, מצב השיניים והמטרות האישיות. בתהליך זה, אנו שמים דגש על תכנון מדויק ומוקפד שמבוסס על ידע מקצועי וניסיון רב-שנים.
קיימות שיטות טיפול רבות ליישור שיניים, הנבחרות בהתאם למקרה וצרכים של המטופל.
ד"ר נועם פרוטר אורטודנט מומחה ליישור שיניים
טיפול יישור שיניים לילדים, המכונה גם יישור שיניים מוקדם או טיפול שלב ראשון (Phase I), כולל תיקון בעיות סגר ויישור
יישור שיניים למתבגרים ונוער הוא הגיל האופטימלי ביותר לטיפול אורתודנטי, הלסתות עדיין בצמיחה, השיניים הקבועות כבר בפיות, וניתן להשיג תוצאות
יישור שיניים למבוגרים הוא אפשרי ויעיל בכל גיל – אין גבול עליון לטיפול אורתודנטי. כיום, עם אפשרויות כמו קשתיות שקופות
גשר מתכת, הידוע גם כגשר סמכי מתכת, הוא שיטת יישור השיניים הקלאסית והמוכרת ביותר ועדיין אחת הפתרונות היעילים ביותר לתיקון
יישור שיניים שקוף הוא שיטת יישור מתקדמת המשתמשת בקשתיות שקופות (אליינרים) נשלפות ובלתי נראות. בניגוד לגשר מתכת קלאסי, הקשתיות השקופות
יישור שיניים פנימי, הידוע גם כ – יישור לינגואלי, הוא שיטה בה הגשר האורתודונטי מוצמד לצד הפנימי (הלשוני) של השיניים
אורתוכירורגיה היא טיפול משולב הכולל אורתודונטיה וניתוח לסת, המיועד למקרים בהם הבעיה אינה רק בשיניים אלא גם במבנה העצמות. הטיפול
קיבוע שיניים – או רטיינר – הוא השלב הסופי והחיוני בכל טיפול אורתודנטי. לאחר שהשיניים הגיעו למיקומן הנכון, הרטיינר שומר
הרחבת לסת עליונה היא פרוצדורה אורתודנטית שנועדה להגדיל את רוחב הסתם ולאפשר מיקום תקין של השיניים. הטיפול יעיל במיוחד בגיל
פלטה שקופה לרטנציה היא המכשיר השומר על תוצאות יישור השיניים לאחר הטיפול. יש לענוד אותה לפי הוראות הרופא – בדרך
לאחר הדבקת גשר מתכת (סמכים), חשוב להתמיד בכמה כללים פשוטים שיבטיחו את הצלחת הטיפול. בימים הראשונים עלולה להיות תחושת אי-נוחות
טיפול אורתודנטי הוא תהליך מדעי ומדויק שמשלב מכניקת שיניים עם תכנון אישי לכל מטופל. הטיפול כולל שלב אבחון ותכנון, שלב
שיניים כלואות הן שיניים שלא בקעו כראוי דרך החניכיים ונשארות לכודות בעצם הלסת. הבעיה שכיחה ביותר בשן בינה, אך יכולה
צפיפות שיניים בלסת התחתונה נגרמת לרוב מחוסר מקום – הלסת קטנה מדי ביחס לגודל השיניים, או שנשירת שיניי חלב גרמה
חבלה בשיניים קבועות – כמו שבירה, נזק לשורש, או שן שנשרה לגמרי – דורשת טיפול רפואי מיידי. בשן שנשרה לגמרי:




מקום מדהים! הייתי פה כמעט שלוש שנים הדבר הכי טוב שקרה לי אם השיניים האלא, באמת שמהפך מדהים שאין לי מילים לתאר. הצוות מדהים במיוחד ד״ר נועם וחנה מדהימים בטירוף ובאמת שרק חיכיתי כדי לבוא לפה שוב!! לא רציתי להוריד את הגשר רק בשביל להיות פה!
הגעתי אחרי 3 שנים של טיפולים במרפאה אחרת וד״ר נועם בחצי שנה של סבלנות ומקצועיות רבה היה שם ויישר לי את השיניים תודה רבה לכל הצוות!
שתי הבנות שלנו עוברות טיפול יישור שיניים אצל דר' נועם. אנחנו כבר למעלה משנה מטופלים כך שיש לנו פרספקטיבה טובה... אנחנו לגמרי ממליצים!! דר' נועם מאוד מקצועי, אדיב ונעים, הבנות שמחות לבוא אליו לטיפול והחוויה הכללית בטיפול ובמרפאה נעימה ומזמינה, קודם כל לבנות אבל גם לנו, ההורים...
עשיתי יישור עם אינוויזליין, יצא מוצלח מאד, חיוך מושלם, ממליצה בחום על דר פרוטר והצוות כולו.
במקום עצמו מאוד שירותי ונעים. יש מכונת שתייה, ומקרר עם שתייה קלה, מכונת קפה. מקומות ישיבה נוחים להמתנה. הרופא ד״ר נועם פרוטר מאוד מאוד נחמד ויודע להקליל סיטואציות.
הבנות שלי מטופלות שם והתוצאות מוחשיות ונהדרות! אני אישית טופלתי בילדותי אצל ברזניאק ביישור שיניים שמחזיק עד היום כמו חדש! ממליצה
אנחנו מטופלים אצל ד״ר פרוטר. השירות מעולה, מאד מקצועי ומכבד את המטופל. ממליצה בחום.
ד"ר נפתלי טיפל בבתי הבכורה בצורה מקצועית, נעימה ועם הרבה סבלנות.כעת בתי הנוספת מטופלת אצל ד"ר נועם ואנחנו מאוד מרוצים. המרפאה נעימה והצוות מאוד עוזר.
עשינו יישור שיניים לבן ולבת שלנו. יצא נהדר וכל הטיפול עצצו היה נהדר - שירות קשוב, זמין, נעים ומקצועי. ממליצה בחום רב
נועם רופא מדהים היה מאוד מקצועי, מסור, קשוב וזמין לכל שאלה לאורך כל הטיפול. היה פשוט כיף להיות מטופלת שלו. הרגשתי שתמיד יש למי לפנות בכל שעה ועל מי לסמוך. נועם מאוד סבלני ויסודי וככה גם נראת התוצאה תוצאה מושלמת בזמן הכי קצר שאפשר. מעבר לזה שנועם רופא מעולה הוא גם אדם מקסים ופשוט כיף לבוא אליו למרפאה ממליצה בחום!!!! נשיקות לנועם כבר מתגעגעת ממני גוני.
אני ומשפחתי מטופלים אצל ד"ר נפתלי ברזניאק למעלה מ-15 שנים. מדובר ברופא מעולה בעל יחסי אנוש נפלאים. גם הצוות המלווה תמיד זמין ונחמד. מומלץ מאוד!
רופא מקצועי וסימפטי, יש לו גישה לילדים ולנערים, בעל חוש הומור, אסיסטנטיות ידידותיות ואווירה נעימה במרפאה . הוגן, אדיב, זמין. בקיצור - מומלץ!
ד״ר ברזניאק מספר 1! מקצועי ונעים. היה זמין לכל sos שלי והתוצאה יותר ממושלמת
ד״ר ברזניאק מעולה! עברנו אליו מרופאה אחרת שהמליצה על עקירות כירורגיות. הוא העריך שלא צריך לעקור. עברנו אליו וסיימנו איתו את הטיפול בצורה מושלמת ללא שום עקירה. מומלץ, שירותי ומקצועי
ד"ר ברזניאק הוא ללא עוררין המומחה מספר אחת בארץ אם לא בכל העולם. הוא הציל אותי ממש מטיפול נוראי של אחד "המומחים" המוכרים והידועים בארץ שעשה לי טראומה וד"ר ברזניאק היה המלאך שלי. הוא מקצוען, עדין כל כך, מבין מתחשב, עם שירות ברמה בינלאומית, הוא מקצוען אמיתי, בעל ראש טוב עם פתרונות יצירתיים, מעבר לכך שהוא איש נעים הליכות ונחת שמשרה אווירה של בטחון כשמגיעים אליו. ד"ר ברזניאק היקר - שה' ישמור לי עלייך ושתמשיך לעזור להרבה מאוד נאשים שצריכים את הידיים הטובות שלך. כל מי שמגיע לכאן - אל תהססו, הגעתם למקום הכי טוב בארץ. מובטח. דלית שלום
Very good doctors Know how to do do with our kids We can see the first result very quick Really recommended
רופא מצויין! טיפול מהיר ומקצועי ביותר. נחמד ורגיש אל המטופלים. חוויה טובה.
האורטודנטים הטובים, המקצועיים והנחמדים ביותר שיכולנו למצוא. הזמינות שלהם, הטיפול והליווי לאורך כל תקופת הטיפול היו מעל ומעבר למצופה והמקובל. שלושת בנותיי מטופלות אצלם וא חנו מגיעים מרחוק מיוחד.

שמירה על תוצאות יישור שיניים לאורך זמן מחייבת שימוש נאמן ברטיינר (קיבוע) לפי הנחיות הרופא. שיניים שיושרו נוטות לחזור למיקומן

יישור שיניים במימון המדינה ניתן בישראל לילדים עד גיל 18 העומדים בקריטריונים קליניים ספציפיים שנקבעו על ידי קופות החולים. הזכאות

יישור שיניים בתל אביב עם אורטודנט מומחה נועם פרוטר ונפתלי ברזניאק זמינים לכם במרפאת אורתו בריבוע, הממוקמת בקניון רמת אביב ברחוב

שאלות על יישור שיניים מגיעות בגלים – לפני שמתחילים, כשמתחילים ובמהלך הטיפול. כמה זמן ייקח? תלוי במורכבות המקרה – בין

תהליך יישור שיניים עם סמכים מתחיל בבדיקת אבחון, בה האורתודנט מצלם, מדוד ובונה תוכנית טיפול מפורטת. בשלב הבא מודבקים הסמכים

מרפאת אורתודונטיה ייעודית מתמקדת בתחום אחד בלבד – יישור שיניים. כל הציוד, הפרוטוקולים, הצוות וההכשרה מכוונים לאורתודונטיה בלבד. זה אומר
ניתן ליישר שיניים בכל גיל, אך הגילאים המומלצים ביותר הם בין 7 ל-14, כאשר כל השיניים החלביות כבר בקעו ורוב השיניים הקבועות טרם בקעו.
בדרך כלל, יישור שיניים אינו כואב, אך ייתכנו תחושות אי נוחות קלות בתחילת הטיפול, לאחר התקנת גשר או קשתיות חדשות. תחושות אלו חולפות בדרך כלל לאחר מספר ימים.
במקרים מסוימים, ייתכנו שינויים קלים בדיבור בתחילת הטיפול, אך אלו חולפים בדרך כלל לאחר זמן קצר.
לא, יישור שיניים אינו גורם לנשירת שיניים. למעשה, יישור שיניים יכול דווקא לשפר את בריאות הפה ולמנוע נשירת שיניים עתידית.
חשוב מאוד לשמור על היגיינת הפה במהלך טיפול יישור שיניים, על מנת למנוע עששת ומחלות חניכיים. יש לצחצח שיניים פעמיים ביום, להשתמש בחוט דנטלי באופן קבוע ולהגיע לטיפול שיננית אחת לכמה חודשים.
לא, גשרים וקשתיות נשלפים מותרים להסרה רק במקרים מיוחדים, בהתאם להנחיות רופא השיניים.
במקרים מסוימים, ביטוחי בריאות פרטיים מכסים חלק מעלויות טיפול יישור שיניים. יש לברר מול חברת הביטוח לגבי תנאי הפוליסה.
תופעות לוואי אפשריות הן כאבים קלים, אי נוחות, פצעים בפה, קשיים בדיבור ושינויים באכילה. רוב תופעות הלוואי חולפות מעצמן לאחר זמן קצר.
עלויות טיפול יישור שיניים משתנות בהתאם למקרה, שיטת הטיפול, מורכבות הטיפול ומשך הטיפול. טווח המחירים נע בין 10,000 ש"ח ל-40,000 ש"ח.
ד"ר נועם פרוטר | מומחה לאורתודונטיה
ד"ר נפתלי ברזניאק | רופא כללי, רופא שיניים, מומחה לאורתודנטיה