ק.ר., בן 12, הגיע למרפאה עם שילוב מורכב של סגר עובר אופקי מוגדל, סגר קלס 2 אסימטרי, צפיפות בשתי הקשתות, ואתגר משמעותי נוסף, שן 21, החותכת המרכזית העליונה השמאלית, לאחר חבלה, טיפול שורש, שינוי צבע ופגיעה אסתטית בולטת. האתגר המרכזי היה להשיג תיקון אורתודונטי מלא באמצעות קשתיות שקופות, תוך הימנעות מהפעלת כוחות מוקדמים על השן שנחבלה, כדי לא לסכן את המשך הטיפול ואת יציבותה. הטיפול תוכנן בשלבים מדויקים, עם יישור שאר השיניים, דיסטליזציה מדורגת, שימוש קפדני בגומיות בין לסתיות, ורק בשלב הסופי הבאת שן 21 לעמדה הנכונה. לאחר מכן הוחלף השחזור כדי להשיב לשן את ממדיה והמראה האסתטי התקין. התוצאה שהתקבלה הייתה מצוינת, הן מבחינה סגרית והן מבחינה אסתטית.
תמונות לפני ואחרי טיפול
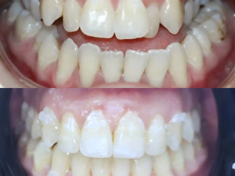
לפני
אחרי
לפני
אחרי
לפני
אחרי
לפני
אחרי
לפני
אחרי
ק.ר., בן 12, הגיע למרפאה עם מקרה אורתודונטי מורכב, שכלל שילוב של בעיה סגרית, צפיפות דנטלית ואתגר אסתטי משמעותי באזור הקדמי. בבדיקה נמצא סגר עובר אופקי מוגדל, סגר אסימטרי עם יחסי קלס 2 בצד ימין באזור הטוחנות, יחס טוחנות תקין בצד שמאל, אך יחסי קלס 2 באזור הניבים בשני הצדדים. בנוסף נצפתה צפיפות באזור החותכות העליונות, עם חפיפה בין שיניים 11 ו 21, וכן צפיפות גם בקשת התחתונה.
מעבר למורכבות האורתודונטית, האתגר המרכזי במקרה זה היה שן 21, החותכת המרכזית העליונה השמאלית, שעברה חבלה, טופלה בטיפול שורש, שינתה צבע ויצרה פגיעה אסתטית משמעותית. מצב זה חייב תכנון זהיר במיוחד, משום שהיה צורך לשפר את הסגר, לפזר את הצפיפות וליישר את השיניים, אך לעשות זאת תוך הימנעות מהפעלת כוחות על השן הפגועה בשלבים הראשונים, כדי לא לסכן את מצבה ואת המשך שרידותה.
בקשה מרכזית של המטופל והמשפחה הייתה לבצע את הטיפול באמצעות קשתיות שקופות. במקרה זה, הבחירה בקשתיות לא נבעה רק משיקול אסתטי. להפך, היתרון המרכזי של הקשתיות היה היכולת לתכנן תנועה מדויקת, סלקטיבית ומדורגת, באזורים מסוימים בלבד, בלי לחייב הפעלה של כל השיניים בקשת באותו שלב. כך ניתן היה להשאיר את שן 21 במקומה לאורך חלקים משמעותיים מהטיפול, בזמן ששאר המשנן עבר יישור, תיאום ותיקון סגרי. זהו יתרון חשוב במיוחד במקרים שבהם יש שן אחת שדורשת זהירות ביולוגית גבוהה ואי אפשר לשלב אותה מיד במערכת הכוחות הכללית.
תכנון הטיפול התבסס על עיקרון ברור, תחילה ליישר את יתר השיניים, להפחית את הצפיפות, ולתקן בהדרגה את יחסי הסגר האחוריים, ורק לאחר יצירת התנאים המתאימים לצרף את שן 21 לתנועה אורתודונטית מבוקרת. אחד האתגרים המרכזיים בטיפול בפער בין לסתי באמצעות קשתיות הוא העובדה שלא מדובר רק ביישור שיניים, אלא בשליטה מדויקת במנח הטוחנות, הניבים והחותכות, וביכולת לייצר תנועה אחורית של השיניים העליונות בלי לאבד עיגון ובלי ליצור תופעות לוואי לא רצויות. בקשתיות, כל תנועה דורשת תכנון ביומכני מוקדם ומעקב הדוק, משום שהצלחת התיקון תלויה לא רק בתכנון הממוחשב אלא גם בדיוק הביצוע בפה.
לצורך כך בוצעה דיסטליזציה מדורגת. כלומר, לא בוצע ניסיון להזיז את כל המשנן האחורי בבת אחת, אלא תכנון רציף והדרגתי שבו כל קבוצה של שיניים נעה בסדר מדויק, תוך שמירה על שליטה בכוחות ועל יציבות יחסית של יתר חלקי הקשת. שיטה זו חשובה במיוחד במקרי קלס 2, משום שהיא מאפשרת לקדם תיקון סגרי אמיתי בצורה מבוקרת יותר, לצמצם עומסים מיותרים, ולשפר את הסיכוי לקבל תוצאה יציבה ומדויקת.
סרטון טיפול יישור שיניים
בתוך מהלך זה היה לשימוש בגומיות בין לסתיות תפקיד קריטי. הגומיות אינן תוספת שולית, אלא חלק מהותי מהמנגנון שמאפשר לקשתיות לבצע תיקון בין לסתי יעיל. הן מסייעות בהכוונת היחסים בין הקשת העליונה והתחתונה, תומכות בתיקון יחסי קלס 2, ומאפשרות להשלים את מהלך הדיסטליזציה בצורה מדויקת יותר. במקרים כאלה, איכות שיתוף הפעולה עם הגומיות משפיעה באופן ישיר על קצב ההתקדמות, על מידת התיקון הסגרי שניתן להשיג, ועל היכולת לשמור על שליטה במהלך הטיפול כולו.
רק לאחר שהושגו התנאים המתאימים, שולבה שן 21 בתנועה האורתודונטית והובאה בהדרגה למקומה הנכון בקשת. הגישה הזאת אפשרה לטפל קודם במבנה הכללי של הסגר והקשתות, ורק לאחר מכן להפעיל כוחות מחושבים ומבוקרים על השן שנפגעה. לאחר מיקום נכון של השן בתוך הקשת, היה צורך בהחלפת השחזור, כדי להחזיר לשן את העובי, הממדים והמראה האסתטי התקין. שלב זה היה חיוני, משום שגם כאשר מיקום השן נכון אורתודונטית, ללא שחזור מתאים לא ניתן להגיע לתוצאה אסתטית שלמה והרמונית.
בסיום הטיפול התקבלה תוצאה אסתטית ותפקודית ברמה גבוהה מאוד. יחסי הסגר שופרו, הצפיפות נפתרה, הקשתות יושרו, והמראה של האזור הקדמי השתנה באופן משמעותי. מעבר ליישור השיניים, הטיפול הצליח להתמודד עם מצב מורכב של שן קדמית לאחר חבלה, תוך שמירה על זהירות ביולוגית גבוהה ותכנון זהיר של כל שלב. זהו מקרה שממחיש כיצד אורתודונטיה מותאמת אישית איננה רק בחירה במכשור מסוים, אלא היכולת לתכנן את סדר הפעולות הנכון, לשלוט בתנועת שיניים באופן סלקטיבי, להתחשב במגבלות הביולוגיות של כל שן, ולהוביל לתוצאה אסתטית מצוינת גם כאשר נקודת הפתיחה מורכבת במיוחד.

