דף הבית » סיפורי מקרה
איך יישור שיניים משנה את החיים? כאשר הבעיה אינה רק בשיניים, אלא גם במבנה הלסת, נדרש טיפול שמבין את התמונה […]
קרא עוד »
ק.ר., בן 12, הגיע למרפאה עם שילוב מורכב של סגר עובר אופקי מוגדל, סגר קלס 2 אסימטרי, צפיפות בשתי הקשתות, […]
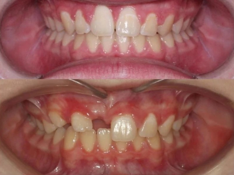
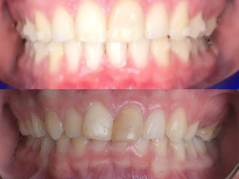
מקרה מורכב של שן 11, החותכת המרכזית הימנית העליונה, שהייתה כלואה בעמדה הוריזונטלית חריגה וחסמה את בקיעת השיניים הסמוכות, טופל […]